Correção da Classe III na Infância
- Dra Luciana Oliveira
- 10 de jul. de 2018
- 1 min de leitura
Atualizado: 11 de jul. de 2018
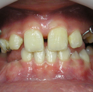
A Classe III é caracterizada principalmente pela mordida cruzada anterior, que acontece quando os dentes superiores se encontram "atrás" dos dentes inferiores. É uma alteração que não se auto corrige, sendo necessário o início de um tratamento ortodôntico ou ortopédico precocemente, a fim de evitar a sua instalação na dentadura permanente. A Classe III pode ser classificada como esquelética quando estão associadas a alterações de crescimento, tamanho, forma e proporção, dentro do complexo maxilofacial, podendo apresentar-se por retrusão maxilar e/ou protrusão mandibular. Quanto a sua etiologia está ligada a fatores gerais, locais e hereditários.
Após estudo do caso é feito o correto diagnóstico e estabelecido o plano de tratamento.
Classes III dentárias, quando não há comprometimento ósseo envolvido são mais facilmente tratadas. Classes III esqueléticas, envolvendo deficiência de crescimento da maxila ou um excesso de crescimento de mandíbula exigem que o diagnóstico e tratamento sejam iniciados ainda na infância para que seja evitada uma futura cirurgia ortognática para correção desta maloclusão na fase adulta, onde seu grau dificuldade para correção muitas das vezes não é possível sem intervenção cirúrgica.
Abaixo caso tratado por Luciana Oliveira, ortodontista em Sete Lagoas -Mg
#classeIII #ortodontiasetelagoas #ortodontistaemsetelagoas #clínicaodontológicasetelagoas #liderodontologia #correçãoclasseIII












Comentários